당뇨 합병증 종류 증상 총정리

당뇨병은 혈당 자체보다 합병증이 더 무서운 질환으로 알려져 있습니다. 혈당 관리가 제대로 되지 않으면 몸 곳곳의 혈관과 신경이 서서히 손상되면서 다양한 합병증으로 이어질 수 있습니다.
당뇨 합병증은 크게 급성 합병증과 만성 합병증으로 나뉘며,
만성 합병증은 다시 미세혈관 합병증과 대혈관 합병증으로 구분됩니다.

1. 급성 당뇨 합병증 (대사 이상)
급성 합병증은 비교적 짧은 시간 안에 발생할 수 있어 즉각적인 대응이 필요한 상태입니다.

저혈당
- 혈당이 정상보다 지나치게 낮아진 상태
- 손 떨림, 식은땀, 어지럼, 심하면 의식 저하
- 식사 거름, 약물 과다 복용이 주요 원인
고혈당 혼수
- 혈당이 매우 높아져 의식이 흐려지는 상태
- 심한 갈증, 잦은 소변, 탈수, 구토 동반
당뇨병성 케톤산증
- 주로 1형 당뇨에서 발생
- 인슐린 부족으로 산성 물질이 축적됨
- 치료가 늦으면 생명에 위험
2. 만성 당뇨 합병증
![]() |
![]() |
만성 합병증은 혈당이 오랜 기간 높게 유지되면서 서서히 진행되는 것이 특징입니다.
① 미세혈관 합병증
![]() |
![]() |
![]() |
당뇨병성 망막병증
- 눈의 미세혈관이 손상되는 질환
- 시야 흐림, 시력 저하, 실명 위험
- 초기에는 자각 증상이 거의 없음
당뇨병성 신장병증
- 콩팥 기능이 점점 저하됨
- 단백뇨, 부종 발생 가능
- 진행 시 투석이 필요할 수 있음
당뇨병성 신경병증
- 손발 저림, 화끈거림, 통증
- 감각 둔화로 상처를 알아차리기 어려움
② 대혈관 합병증
![]() |
![]() |
![]() |
심근경색
- 심장 혈관이 막혀 발생
- 당뇨 환자는 통증이 약해 발견이 늦어질 수 있음
뇌졸중
- 뇌혈관이 막히거나 터지는 질환
- 언어 장애, 반신 마비 위험
말초혈관질환
- 다리 혈관 순환 장애
- 보행 시 통증, 심하면 괴사로 진행
3. 당뇨발 합병증
당뇨로 인한 신경 손상과 혈액순환 장애가 겹치면서 발에 생긴 작은 상처가 심각한 문제로 이어질 수 있습니다.

- 상처 회복 지연
- 궤양, 감염 위험 증가
- 심한 경우 절단까지 이어질 수 있음
4. 기타 당뇨 관련 합병증
![]() |
![]() |
![]() |
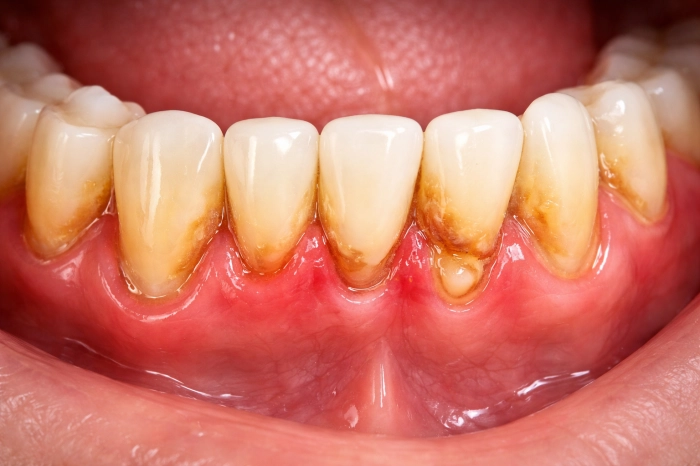
- 잇몸 질환 및 치주염
- 피부·요로 감염 반복
- 성기능 장애
- 소화 장애

마무리 정리
당뇨 합병증은 어느 날 갑자기 나타나기보다 조용히 진행되다가 한 번에 드러나는 경우가 많습니다.
증상이 없더라도 정기적인 검사와 꾸준한 혈당 관리가 합병증 예방의 가장 중요한 포인트입니다.
< 함께 읽으면 좋은 글>
당뇨수치 기준 정상수치는 얼마일까
당뇨수치 기준에 대해서 정리했습니다. 가족 중에 당뇨병을 앓고 있거나,최근 들어 갈증이 자주 나고, 피로감이 지속되며, 소변을 자주 보는 증상이 있다면 혹시 나도 혈당 수치가 높아진 건 아
a.meiiilog.com
당뇨병 초기증상
당뇨병 초기증상에 대해서 작성하였습니다. 당뇨병은 조용히 찾아와 우리 몸을 천천히 무너뜨릴 수 있는 만성 질환입니다. 특히 초기 증상은 너무 일상적이어서 그냥 지나치기 쉽습니다. 하지
a.meiiilog.com
당뇨에 좋은 과일 나쁜 과일 총정리
흔히 겨울철 간식으로 즐겨 먹는 과일! 바로 귤입니다. 어릴때는 한박스씩 사서 티비보며 손톱이 노래질때까지 까먹었었는데요. 슬프게도 이제 과일도 가려 먹어야 될 나이가 됐습니다. 그럼 당
a.meiiilog.com
당뇨약의 종류 : 복용 전 꼭 알아야 할 정보
당뇨 진단을 받으면 가장 먼저 접하게 되는 것이 약 복용입니다. 하지만 어떤 약이 있는지, 각각 어떤 역할을 하는지 모르고 복용하는 경우가 많습니다. 이 글에서는 당뇨약의 종류를 정리하고,
a.meiiilog.com










